Birçok insanın hayatını zindana çeviren, şiddetli baş ağrısı, mide bulantısı ve ışığa hassasiyet gibi durumlara yol açan Migrene günümüzde hala %100 etkili bir tedavi bulunabilmiş değil. Ancak son olarak migren ile ilgili önemli bir gelişme yaşandı.
Güney Kaliforniya Üniversitesi’nden bilim insanları, migrene sahip kişilerin beynindeki değişilikleri görüntüledi. Kronik ve aurasız epizodik migrenli kişilerde, ‘centrum semiovale’ adı verilen beyin bölgesinin mikroskobik boyuttaki perivasküler boşluklarının büyüdüğü gözlemlendi.
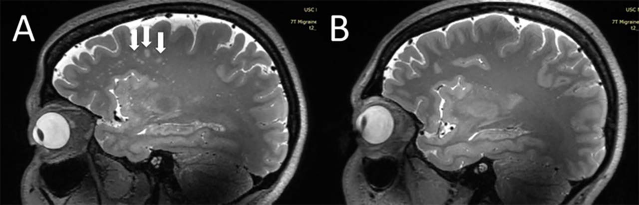
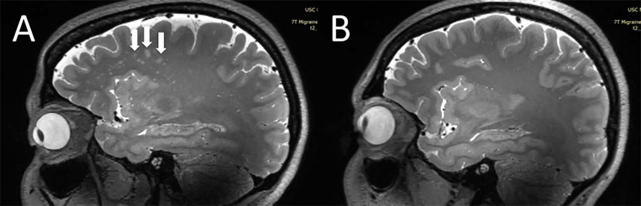
Solda: Migrene sahip kişiye ait MRI - Sağda Migrensiz kişiye ait MRI:

Perivasküler boşluk olarak tanımlanan alan, beyindeki kan damarlarını çevreleyen sıvı boşluklardan oluşuyor. Bu boşluklar, özellikle kan-beyin bariyerindeki anormallikler ve iltihap gibi durumlardan etkileniyor.
Migrene sahip kişilerde bu boşlukta anormal bir durum olduğu keşfi de bu yüzden büyük önem taşıyor. Çalışmanın başında yer alan Wilson Xu, bu boşluğun migrenin kökeni hakkında cevaplar sunabileceğini belirtiyor.
Bilim insanları, migren ve perivasküler boşluk arasındaki ilişkiyi çözmeye yoğunlaşmış durumdalar. Bu konuda henüz net bir cevaba varılamamış olsa da ortada bir hipotez bulunuyor.
Bu hipoteze göre perivasküler boşluğun migrenli kişilerde daha büyük olması, beyindeki glimfatik bozulmadan kaynaklanıyor olabilir. Glimfatik sistem, merkezi sinir sisteminden çözünür proteinleri ve metobolitleri ortadan kaldırmaya yardımcı olmak için perivasküler kanalları kullanıyor, bir nevi atık temizleme sistemi olarak görev yapıyor.
Bu keşif ile ilgili sonuçlar önümüzdeki haftalarda yayınlanacak.