Albert Einstein görüşünü desteklediğinde, beynin kullanımına dair söylentiler uzun yıllar dünya çapında dolaştı. Ancak bilimin en önemli özelliği kendi kendini bile taklit edebilmesidir. Tıpkı beynimizin %10'unu kullanıyoruz efsane gibi.Kullanılan insan beyninin yüzdesi hakkında bazı söylentiler var. Ayrıca
Lucy gibi filmler bile bu temayla çekilmiş. Günümüzde sosyal medyanın da katılımıyla en ufak bir yanlış anlama tüm dünyaya yayılabilir.Aslında bu durum oldukça normal. Çünkü bilim sadece gerçeğe ve değişmeyen gerçeklere dayanmaz. Yeni bilgi kanıtlandığında, bir bilgi parçası değişir. Einstein'ın zamanında beynin %10'unu kullandığımız efsanesi kabul edilmişti. Ancak, bu gerçek sonraki araştırmalarla değişti. Geri kalanı, popüler kültürdeki yanlış bilgiler.

Beynimizin %10'unu kullandığımıza dair söylentiler nasıl ortaya çıktı?
Bu görüşü evrensel kılmak için bu alanda bazı araştırmalar yapılmalı. Elbette bazı araştırmalar beynin %10'unu kullandığımızı söylüyor, ancak bu çalışmalar
1890'lara dayanıyor.O dönemlerde Harvard'da çalışan psikolog
William James ve
Boris Sidis, davranış ve düşüncelerin değişip değişmediğini gözlemlemek için beyin çukurunu boşalttılar ve bu şekilde düşüncelerinde bir değişiklik olup olmadığına baktılar. Sonuçlara göre insanlar beyinlerinin sadece% 10'unu kullandılar. Bu görüş,
Albert Einstein konuyla ilgili destekleyici bir açıklama yaptığında popüler oldu.
Son çalışmalar, beynimizin %10'unu kullanıyor olsaydık, bitkisel hayatta olacağımızı söylüyor.
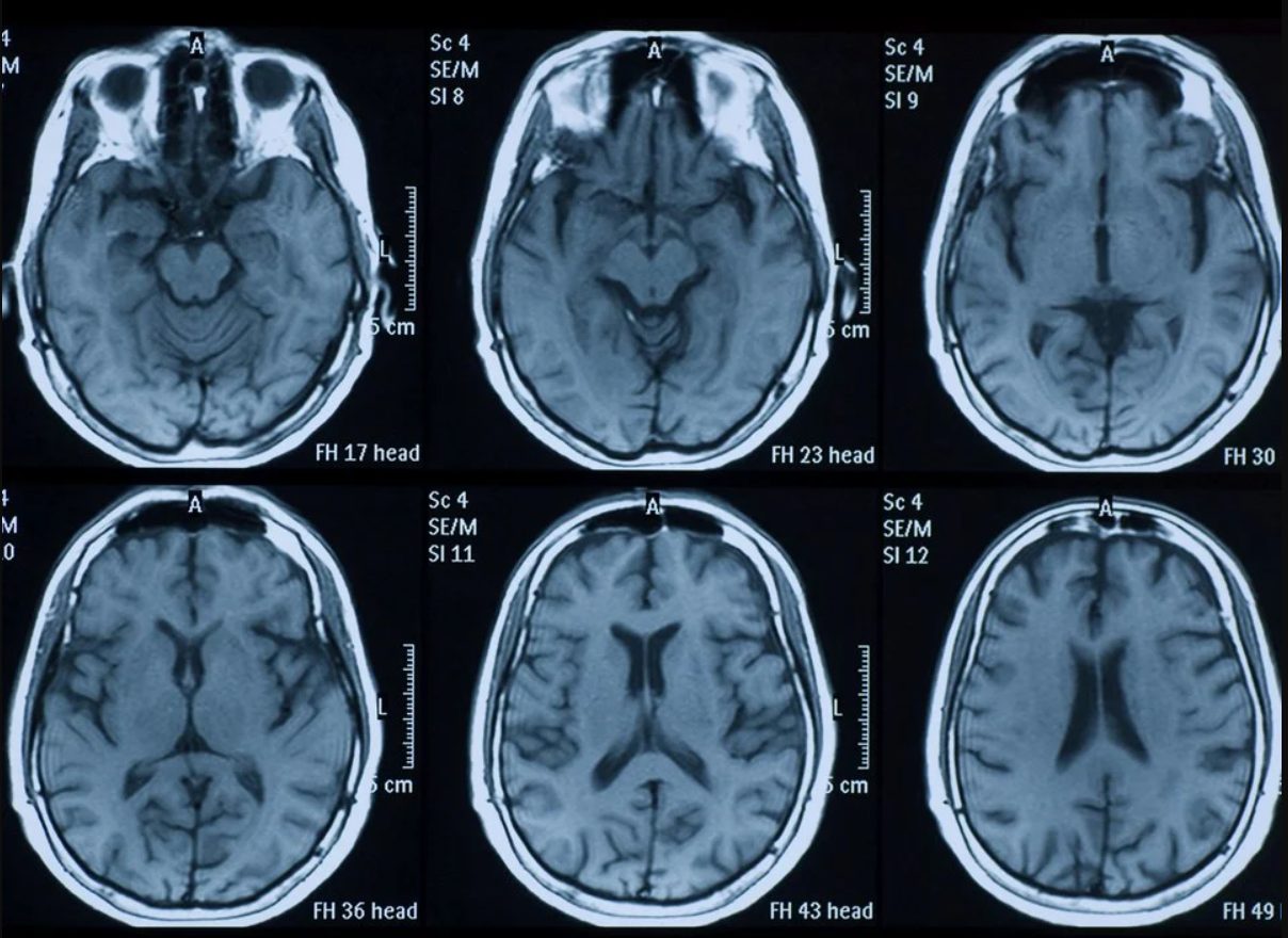
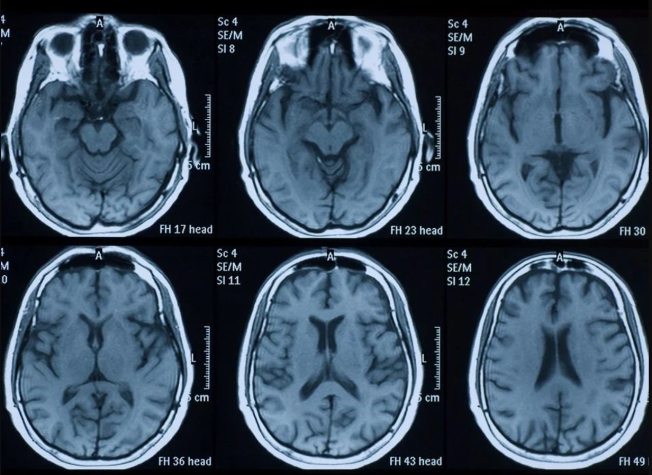
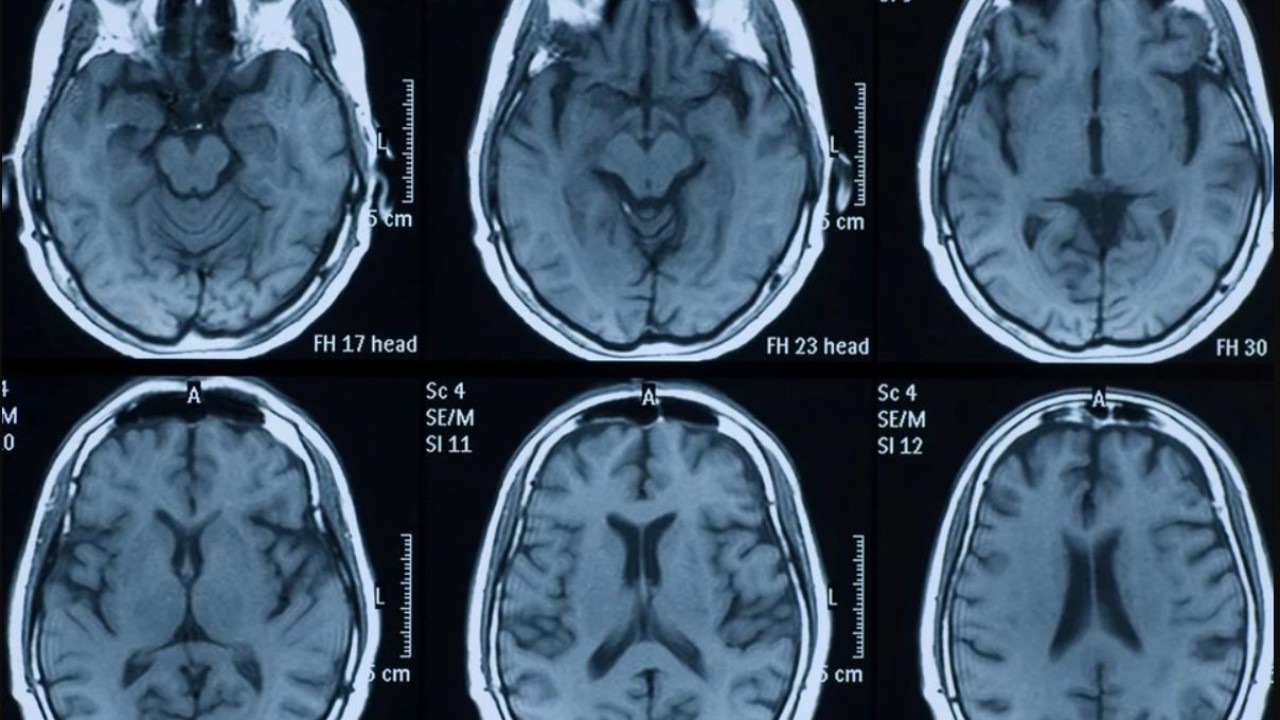
Teknolojinin sürekli gelişmesi ile herhangi bir cerrahi müdahale olmaksızın beyin ile ilgili veriler elde edilebiliyor. Hemen hemen herkes tarafından duyulan
MR (manyetik rezonans görüntüleme), insan beyninde hiç kullanılmayan alan olmadığını rahatlıkla gösterebilir. Başka bir tıbbi veriye göre, beynin %10'unu kullanıyor olsaydık, bitkisel hayatta olacağımızı söylüyor.Başka bir basit denklem aslında bu söylentinin ne kadar saçma olduğunu gösteriyor. Hepimizin bildiği gibi, insan vücudu tarafından üretilen enerjinin yaklaşık %20'si beyni eğitmek için kullanılır. Sadece %10 aktif olan organlar için bu enerji harcaması çok yüksektir. İşte bu yüzden beynimizin %10'unu kullandığımız fikrine artık basitçe efsane deniyor. Dolayısıyla insan beyninin %100 kullanıldığı gerçeği artık ispatlandı.
Parmak şıklatırken bile beynimizin %70'ini kullandığımız söyleniliyor
Dr. Muzaffer Kaşer tarafından onaylanan bu gerçek, insanlığın beyinleriyle ilgili gerçekleri kabul etmesi adına büyük bir adım oldu.Söylentiler, beynimizin %10'unu kullandığımızı ve bazıları eğer beynimizin %100'ünü kullanırsak süper güçlere sahip olacağımızı düşünüyor. Bugün bile, toplumdaki çoğu insan hala bu tür tutarsız söylentilere inanıyor.
&t=1s