İnsan beyni, maymun veya şempanze gibi hayvanların beyinlerinden çok daha büyük ve çok sayıda nörona sahip olmamız bizi farklı kılıyor.Laboratuvar ortamında küçük beyin dokusu örnekleri geliştirilerek, şempanze ve maymunlara kıyasla insan beyninin erken gelişimindeki önemli bir fark tespit edildi.Yapılan incelemeler sonucunda insanlar ilk gelişme sürecinde beyinleri nöral progenitör hücreler olarak bilinen hücrelerden inşa edilir.Bu hücereler de defalarca çoğalma özelliğine sahiptir ve süreç sonunda nöronlar oluşur.Bilim insanlarının açıklamasına göre daha fazla progenitör hücre daha fazla nöron demektir ve insanlardaki progenitör hücreler, maymun ve şempanzelerin progenitör hücrelerden daha farklı davranmaktadır.Yapılan deney sonuçlarına göre insan progenitör hücrelerinin, geçiş yapmadan önce bir hafta boyunca çoğalmaya devam ettiği gözlemlenmiş.Sonuç olarak, insan beyninde daha fazla nöron bulunması bu soruların cevabı olabilir gibi duruyor.
Dünyadaki en akıllı canlı olarak insanlar görülür. Daha doğrusu beyin gelişimi söz konusuysa en gelişmiş canlılar diyebilmek mümkün.Birçok kişi bu durumu evrim olarak nitelendiriyor ancak beyinler...
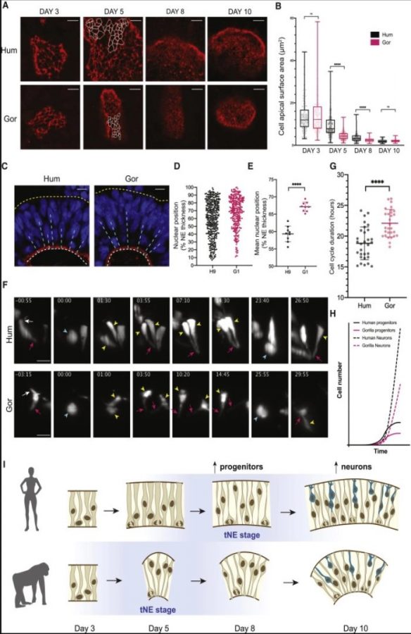
Dünyadaki en akıllı canlı olarak insanlar görülür. Daha doğrusu beyin gelişimi söz konusuysa en gelişmiş canlılar diyebilmek mümkün.Birçok kişi bu durumu evrim olarak nitelendiriyor ancak beyinlerimizin neden büyük maymunlar veya şempanzelerden farklı bir geliştiğinin cevabı henüz net değil.Cell Dergisi’nde yayınlanan yeni bir araştırmaya göre insan beyni, fiziksel boyutuna bağlı olarak birçok şeyi yapabilir.
İnsan beyni, maymun veya şempanze gibi hayvanların beyinlerinden çok daha büyük ve çok sayıda nörona sahip olmamız bizi farklı kılıyor.Laboratuvar ortamında küçük beyin dokusu örnekleri geliştirilerek, şempanze ve maymunlara kıyasla insan beyninin erken gelişimindeki önemli bir fark tespit edildi.Yapılan incelemeler sonucunda insanlar ilk gelişme sürecinde beyinleri nöral progenitör hücreler olarak bilinen hücrelerden inşa edilir.Bu hücereler de defalarca çoğalma özelliğine sahiptir ve süreç sonunda nöronlar oluşur.Bilim insanlarının açıklamasına göre daha fazla progenitör hücre daha fazla nöron demektir ve insanlardaki progenitör hücreler, maymun ve şempanzelerin progenitör hücrelerden daha farklı davranmaktadır.Yapılan deney sonuçlarına göre insan progenitör hücrelerinin, geçiş yapmadan önce bir hafta boyunca çoğalmaya devam ettiği gözlemlenmiş.Sonuç olarak, insan beyninde daha fazla nöron bulunması bu soruların cevabı olabilir gibi duruyor.
İnsan beyni, maymun veya şempanze gibi hayvanların beyinlerinden çok daha büyük ve çok sayıda nörona sahip olmamız bizi farklı kılıyor.Laboratuvar ortamında küçük beyin dokusu örnekleri geliştirilerek, şempanze ve maymunlara kıyasla insan beyninin erken gelişimindeki önemli bir fark tespit edildi.Yapılan incelemeler sonucunda insanlar ilk gelişme sürecinde beyinleri nöral progenitör hücreler olarak bilinen hücrelerden inşa edilir.Bu hücereler de defalarca çoğalma özelliğine sahiptir ve süreç sonunda nöronlar oluşur.Bilim insanlarının açıklamasına göre daha fazla progenitör hücre daha fazla nöron demektir ve insanlardaki progenitör hücreler, maymun ve şempanzelerin progenitör hücrelerden daha farklı davranmaktadır.Yapılan deney sonuçlarına göre insan progenitör hücrelerinin, geçiş yapmadan önce bir hafta boyunca çoğalmaya devam ettiği gözlemlenmiş.Sonuç olarak, insan beyninde daha fazla nöron bulunması bu soruların cevabı olabilir gibi duruyor.
Yorumlar
*
Bu içerik ile ilgili yorum yok, ilk yorumu siz yazın, tartışalım *